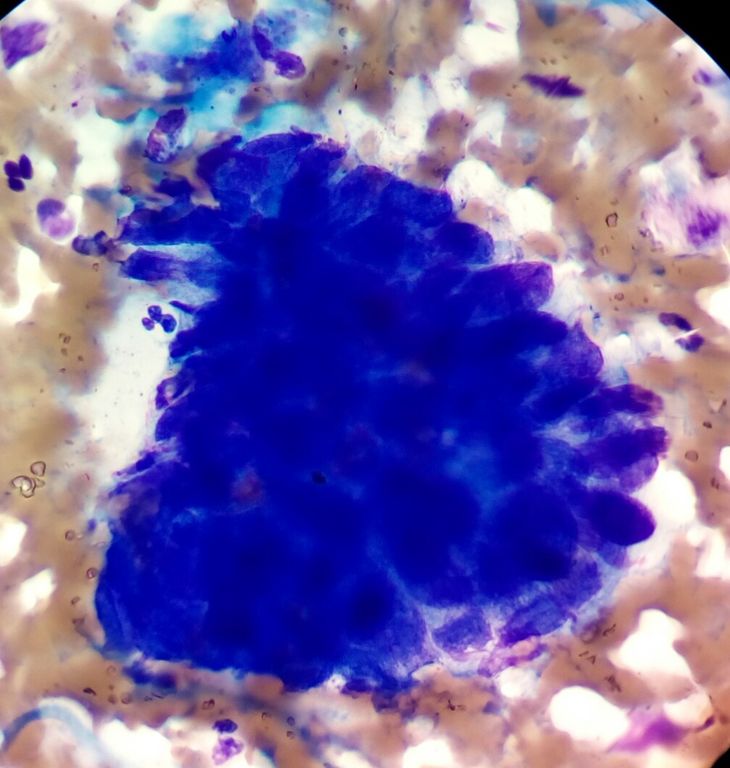
ЦИТОЛОГИЧЕСКАЯ КАРТИНА ПАТОЛОГИИ КОЖИ (ч.1): многоликая базалиома.

в пути
цифровой товар
ЦИТОЛОГИЧЕСКАЯ КАРТИНА ПАТОЛОГИИ КОЖИ (ч.1): многоликая базалиома.
cнят с продажи

Ожидается большой онлайн мегакурс по цитопатологии кожи                                                           

Эксперт:  Мамелина Мария Фёдоровна, заведующий отделением КДЛ, врач КЛД ГБУЗ "Онкологический диспансер №2" МЗ Краснодарского края, г.Сочи, член АКЦР, РООП, ФЛМ

Оперативная информация в чате https://t.me/cytolablive

Ожидается большой онлайн мегакурс по цитопатологии кожи                                                           

Эксперт:  Мамелина Мария Фёдоровна, заведующий отделением КДЛ, врач КЛД ГБУЗ "Онкологический диспансер №2" МЗ Краснодарского края, г.Сочи, член АКЦР, РООП, ФЛМ

Оперативная информация в чате https://t.me/cytolablive

С этим вебинаром также интересуются