Акушерство и гинекология

ВЛАГАЛИЩЕ, ШЕЙКА МАТКИ, ЦЕРВИКАЛЬНЫЙ КАНАЛ

Дисплазия

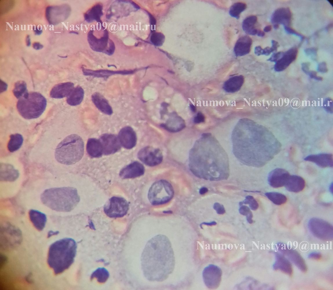
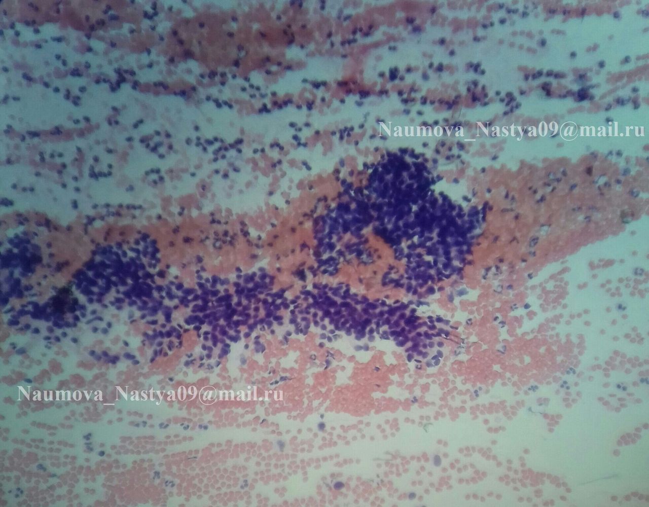
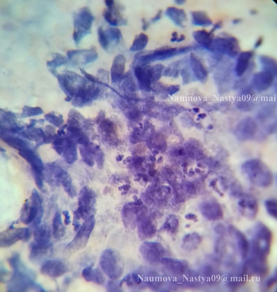
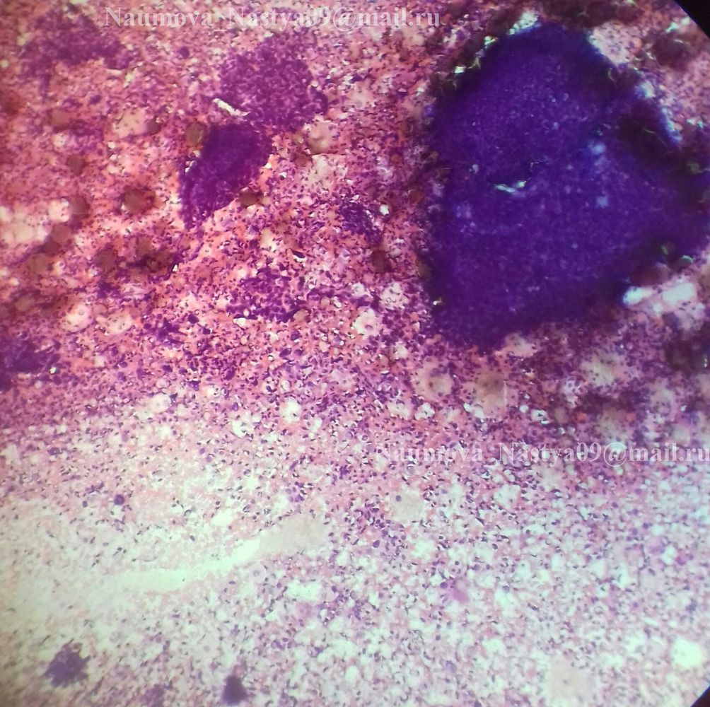
Женщина 60 лет.

Прием у гинеколога в ЖК, диагноз по МКБ N 88.0

Соскоб с шм/цк, Гематоксилин-эозин, х10, х100

Цитология: Выраженный дискариоз, Дисплазия III (CIN III). Признаки вирусной инфекции. Лейкоциты в умеренном количестве.

Гистология: Резковыраженная дисплазия шейки матки

Плоскоклеточный неороговевающий рак шейки матки

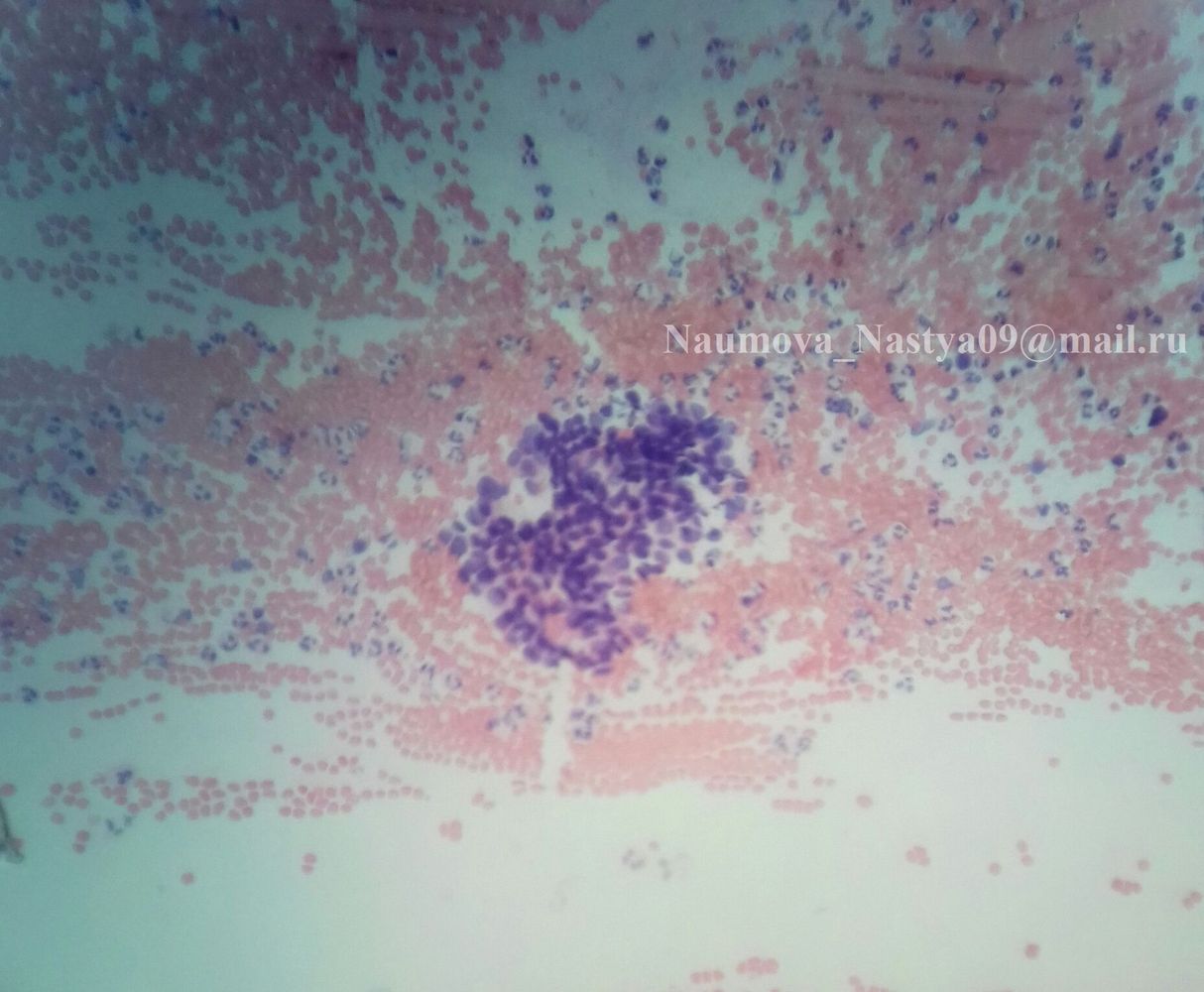
Женщина, 69.

Прием у гинеколога, по МКБ - Z 01.4

Соскоб с шм/цк, Гематоксилин-эозин, х10, х100

Цитология: Цитологические данные за рак.

Гистология: Плоскоклеточный неороговевающий рак шейки матки.

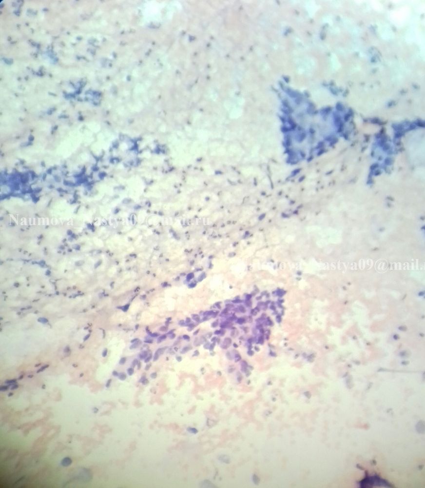
Женщина, 60 лет.

Прием у гинеколога в ЖК, по МКБ - N 92.4

Соскоб с шм/цк, Гематоксилин-эозин, х10, х100

Цитология: Цитологические данные за рак

Гистология: Плоскоклеточный неороговевающий рак шейки матки

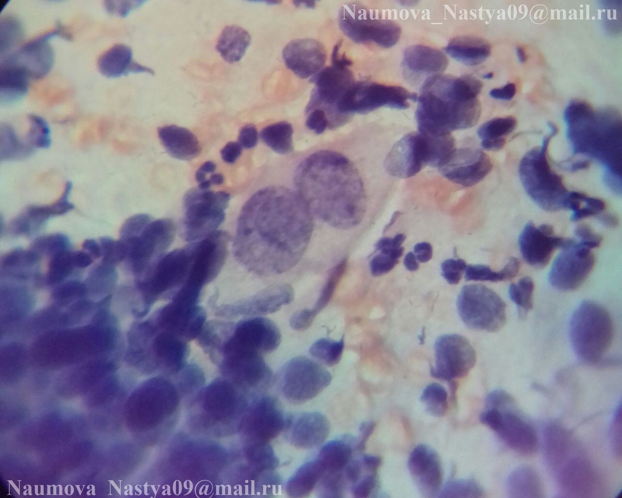
Женщина, 41 год.

Прием у гинеколога в ЖК, по МКБ - N 86

Соскоб в шм/цк. Гематоксилин-эозин. Увел. х10, х100.

Цитология: Железистая гиперплазия с атипией, Susp Cr. Эритроциты, лейкоциты в большом количестве. 

Гистология:  Плоскоклеточный неороговевающий рак шейки матки

Аденокарцинома

Женщина, 31 г.

Женская консультация

Соскоб с шейки матки/цервикального канала, Гематоксилин-эозин, х10, х40, х100

Цитология: Железистая гиперплазия с атипией, Susp Cr (Аденокарцинома?).

Гистология: Высокодифференцированная аденокарцинома

Аденокарцинома

Женщина, 60 лет

Прием в женской консультации, диагноз по МКБ Z 01.4

Соскоб с клитора, Гематоксилин-эозин, х10, х40, х100

Цитология: Цитологические данные за рак (Аденокарцинома?)

Гистология: Аденокарцинома влагалища

Удалить товар

Вы точно хотите удалить выбранный товар? Отменить данное действие будет невозможно.